 
In late 2015, Orlando Munoz was a 40-year-old Coral Gables police officer and SWAT team member who made a seemingly uneventful decision that would ultimately save his life. It wasn’t a dramatic moment or a life-or-death situation he faced on the job. Instead, it was a casual conversation with a fellow officer about a free medical study at Baptist Health.
That conversation led him to sign up for the Miami Heart Study, a groundbreaking research initiative by Baptist Health Miami Cardiac & Vascular Institute. What followed was a journey that not only changed his life — but also underscored the critical importance of preventive health measures.
“I never thought I’d have a problem,” Mr. Munoz recalls. “I was active, I worked out regularly, and I passed all my physicals. But something inside me kept telling me to go. I’m so grateful I listened to that voice. For whatever reason, I signed up for the Miami Heart Study and the required testing.”
A Chance Encounter That Changed Everything
The Miami Heart Study, or MiHeart, launched in 2015 with the goal of studying more than 2,500 asymptomatic individuals aged 40-65. Using advanced coronary computed tomography angiography (CCTA), the study aimed to detect early signs of coronary artery disease in people who showed no symptoms.
For Mr. Munoz, the study was a chance to participate in something meaningful, but he didn’t expect it to reveal anything alarming. His regular checkups had only found elevated cholesterol levels, for which he was taking medication.
“I had just turned 40, and I was in great shape,” Mr. Munoz explains. “I’d been a police officer for 20 years, and I was always active—lifting weights or doing martial arts. People would even ask me for advice on staying healthy. I thought I was the last person who needed to worry about heart disease.”
 
(Images: Ten years ago, Orlando Munoz was a 40-year-old Coral Gables police officer and SWAT team member who made the fateful decision to join a medical study at Baptist Health after hearing about it from a police colleague.)
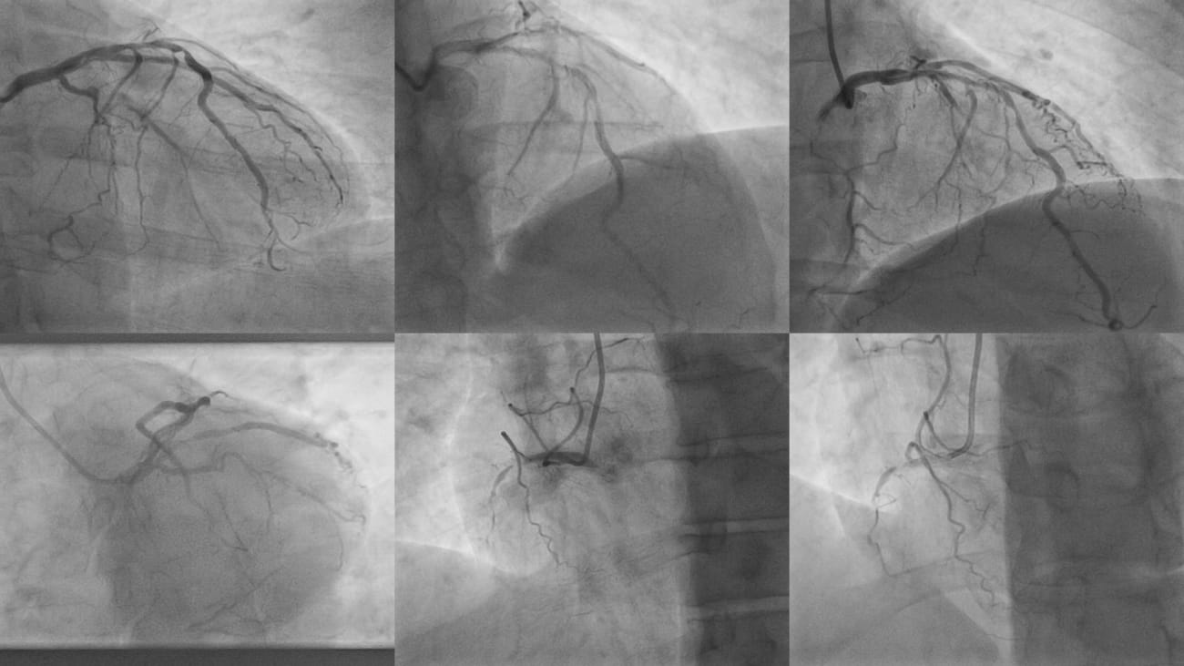
But the study had other plans. After undergoing a series of tests, including the pivotal CCTA scan, Mr. Munoz received a call that would change his life forever. “I had just left the hospital when the doctor called me. He said, ‘You need to head to the hospital immediately.’ I couldn’t believe it. I had two severe blockages in my heart—one was 95 to 97 percent blocked. The doctor told me that with exertion, it could have burst at any moment. He said, ‘You would’ve been dead before you hit the ground.’ ”
 
Theodore Feldman, M.D., cardiologist at Baptist Health Miami Cardiac & Vascular Institute.
MiHeart’s Life-Saving Findings
A significant number of MiHeart’s imaging results detected life-threatening conditions, primarily thoracic aortic aneurysms, which are bulges or dilations of the aorta, the main artery that carries blood from the heart to the rest of the body, in the chest cavity, according to Theodore Feldman, M.D., a cardiologist at Baptist Health Miami Cardiac & Vascular Institute who has more than 35 years of experience in his field and has been part of the MiHeart team since its launch.
“We don't have all the data yet, but nearly 10 percent of the findings were – for the most part, life-saving,” explains Dr. Feldman, who has taken part in more than 70 cardiovascular clinical research studies. “These are findings from the CCTA that would not have been picked up otherwise. The Miami Heart study focused on asymptomatic individuals and those with heart disease were excluded. That’s an important distinction for that study. But the CCTA test is the essence of what we believe has become the standard for the symptomatic patient.”
The Road to Recovery
After the CCTA scan, Mr. Munoz immediately reported to his long-time cardiologist and his medical team outside of Baptist Health. He underwent a stent procedure, also known as coronary angioplasty, a minimally invasive medical intervention to open narrowed or blocked coronary arteries. The angioplasty opened up the coronary artery that was 95 to 97 percent occluded.
About a month later, he underwent “open heart bypass surgery,” also known as coronary artery bypass grafting (CABG), an open-chest surgical procedure that improves blood flow to the heart by creating new pathways around blocked coronary arteries. The surgery treated a second artery that was nearly completely blocked — and also detected by the MiHeart CCTA scan.
The recovery process was grueling, both physically and emotionally. “I didn’t expect it to be that bad,” he recalls of the long recovery from surgery. “I was so weak those first few weeks. I remember struggling just to step into the bathtub. At the hospital, when they first stood me up, I had to hold onto a walker and shuffle my feet. I was 40 years old, and I felt like I was 80.”
Despite the challenges, Mr. Munoz was determined to regain his strength. “The first day I was cleared to drive, I drove myself to the gym. I was weak—I could barely lift 5-pound dumbbells—but I kept going. Slowly, I started regaining my strength and balance. It took months, but I got there.”
Unfortunately, the surgery marked the end of his career as a police officer. “The doctor told me I couldn’t go back to full police duty. The department retired me on disability in 2016. It was hard to accept, but I’m grateful to be alive.”
Today, Mr. Munoz runs Eagle Globe Protective Services (EGPS), a private security company in Miami-Dade. He’s also a devoted father to his 16-year-old son and 9-year-old daughter. “I think about them every day,” he says. “I wouldn’t be here for them if it weren’t for the Miami Heart Study.”
A Study That’s Saving Lives
Orlando Munoz’s story is just one example of the life-saving impact of the Miami Heart Study. The study’s innovative approach—focusing on asymptomatic individuals and using advanced imaging technology—has already yielded groundbreaking insights.
MiHeart has revealed that nearly half of participants had coronary plaque, and up to 10 percent had severe artery narrowing, a major risk factor for heart attack or stroke.
“The data from this study is reverberating throughout the field of preventive cardiology,” says Dr. Feldman. “It’s changing the way we think about early detection and intervention.”
Dr. Feldman explains how MiHeart is deciphering the perplexing incidents of asymptomatic patients who are at serious risk for cardiovascular events. “There is a huge segment of patients who we're trying to understand at the extremes. They may have extremely high levels of cholesterol and don't get heart disease. And then there are others who have relatively low levels of cholesterol who have severe disease. This is what the Miami Heart Study is very much about.”
Lessons Learned
Mr. Munoz’s experience serves as a powerful reminder that heart disease doesn’t always come with warning signs. “I passed all my physicals. I felt fine. But the truth is, you can’t always see what’s going on inside your body,” he says. “I ignored the signs — struggling during SWAT training runs, and chalking it up to being older than the other officers. Looking back, those were red flags.”
He urges others to take their health seriously and to take advantage of preventive measures. “Don’t wait until it’s too late,” he says. “If you have the opportunity to get tested, do it. It could save your life.”
A Grateful Heart
Today, Mr. Munoz lives with a renewed sense of purpose. “I’ve had time to reflect, and I feel blessed,” he says. “I’ve seen so much death in my career as a police officer. I’ve lost count of how many people I’ve seen pass away. But I’m still here. I’m here for my kids, for my family, for my community. And I owe that to the Miami Heart Study.”
As MiHeart continues to make waves in the medical community, stories like Mr. Munoz’s highlight its profound impact.
“I am so grateful for Baptist Health Miami Cardiac & Vascular Institute and the Miami Heart study,” Mr. Munoz says. “Obviously, I wouldn't be here today if it wasn’t for the study. I’d like to give back and just raise awareness. I am blessed and I want everyone to be proactive about their health.”

